
|
カレンダー
最新記事
プロフィール
HN:ごう 年齢:47 性別:男性 誕生年:1973年 自己紹介: 2001年10月 精巣腫瘍で右睾丸摘出 2006年8月 後腹膜リンパ節に転移でBEPを3クール実施 2006年11月 退院 メールはこちらまで(@は変換してくださいね)
ブログ内検索
アーカイブ
カウンター
アクセス解析
最新コメント
たかたか (07/09)
SHOKO (01/21)
ごう (01/16)
SHOKO (01/06)
ごう (06/13)
shii (06/08)
ごう (06/20)
おしん (06/08)
|
× [PR]上記の広告は3ヶ月以上新規記事投稿のないブログに表示されています。新しい記事を書く事で広告が消えます。
CT、腫瘍マーカー共に問題なし。
中性脂肪と尿素窒素がやや基準値越え・・・。 次回は年末で12月! PR
XP、腫瘍マーカー、いずれも問題なしである。
次は12月なので、これで一応2006年から検査異常なし期間5年達成である! あと少し!!
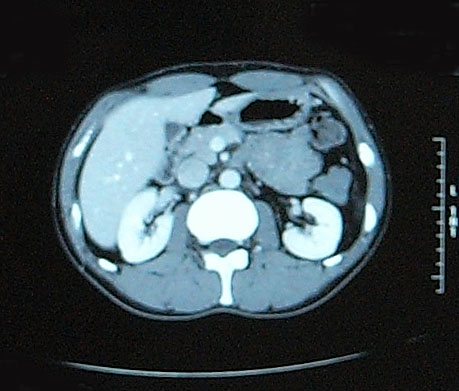
【単純CT】
問題なし! 【腫瘍マーカー】 HCGβ:<0.1 問題なし! 次は9月!
地震後最初の平日に病院へ行ってきた。
【XP画像】 問題なし 【腫瘍マーカー】 HCGβ:<0.1 問題なし 【中性脂肪】 137(9月)→143(12月)→342(今回) 基準内(38-193)から大きく逸脱・・・ 引越して環境が変わったからか? 落ち着いたら運動(水泳)をしよう。 次回は6月。
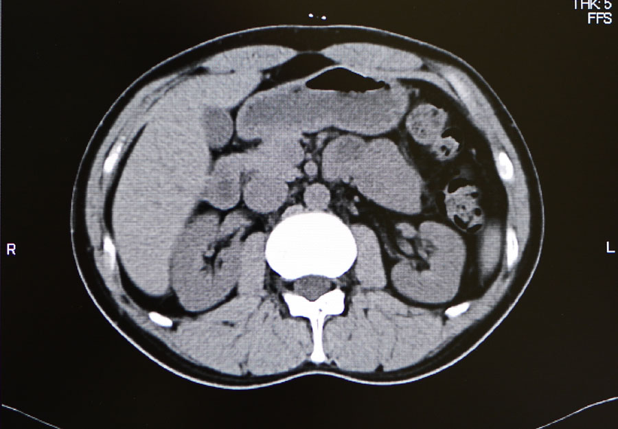
【単純CT】
問題なし! 【腫瘍マーカー】 HCGβ:<0.1 問題なし! 先週検査でした。 今日はその結果。 今日は珍しく先生が寝ぼけていました(笑)。 次回のレントゲン検査の受付票を何回も出し間違えた。 1回目:診察後清算も済み帰ろうとした所で俺が気がついた。「これ、画像データCDR作成申込書じゃん・・・」 2回目:受付で上記を伝え、看護婦さん:「すいませ~ん!これで大丈夫ですか?」 確認すると今度はXP検査受付票なので「OKです!ありがとうござ・・・ん?!?これ検査日が今日です・・・・」 看護婦さんダッシュで戻っていきました。 3回目:看護婦さん:「今度は~~」 俺:「間違いないです!」 看護婦さん:「先生寝ぼけてるんですよぉ~」 次は3月!
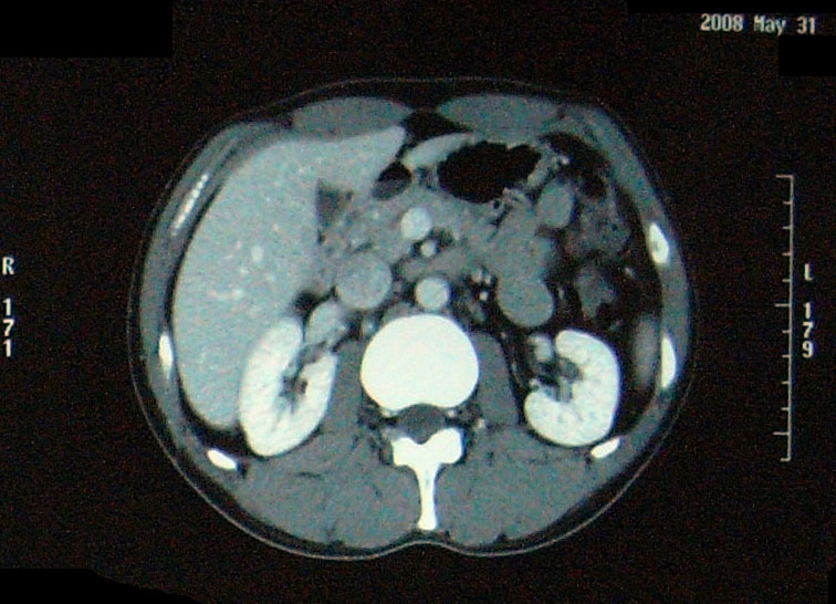
【XP画像】
問題なし 【腫瘍マーカー】 HCGβ:<0.1 問題なし 【中性脂肪】 219→137 基準内(38-193)に入った 今回、検査画像をデータでもらってきた。 後腹膜の転移した箇所の前後4枚を2003年から2010年まで並べてみた。 http://gomatsushita.gozaru.jp/ct/album/index.html 2006/7/18の画像を見ると腫瘍がハッキリ見える。 BEP2クール後の9/27の画像では明らかに縮小もしくは消滅。
CTと採血です。
採血は下手だったな。針を刺された瞬間に「あ、下手だ」とわかります。 この3ヶ月は忙しかったからなぁ。 どんな結果になるやら。 毎回のことですがドキドキしますね。 大丈夫だと思うけど。 今日の結果は6/7。
【XP画像】 問題なし
【腫瘍マーカー】 HCGβ:<0.1 気になるのはコレステロールと中性脂肪が高いことw。 基準値内ですけどね。 次回は5月に単純CTとマーカー。
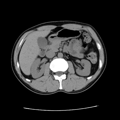
【CT画像】
単純CT:特に変化を認めず。 【腫瘍マーカー】 HCGβ:<0.1 問題なしでした! 今日は画像はありません。 理由は、病院側でデジタル化が進んでいて、PCモニターでの画像確認となったからです。 今日はフィルムも用意されませんでした・・・・。 先生曰く、そのうちフィルムもなくなるだろうと。 そのときにはCD-R等に焼く対応もするようになっているはずだと。 早くデータで画像がほしい。その時はたくさんアップしますw。 次回は2月です。
【XP画像】
「きれいですね」と言われましたw。 【腫瘍マーカー】 HCGβ:<0.1 無事寿命更新です。 まだまだしばらく3ヶ月更新ですねw。マイペースに行きます生きます。 次回は11月に単純CTとマーカーです。 久しぶりに行ったら入院当時お世話になったampmの入ったビルが丸ごとなくなっていた・・・。 ヨメにそばを買ってきてもらうものの、3本だけしか食べられないという・・・w。
暑い夏、電車で移動です。
お盆中ということもあってガラガラ。 どちらの検査も待ち時間はなく、さっさと終了。 ついでにCTやXPの画像データをメディア等でもらえないか確認。 たまたま代診をしていた担当医に会え、申請用紙を作成して画像診断部へ提出。 しかし、画像診断部からは結果はNGの返事。 現在CD-R等での画像データのコピー作成はしていないとのこと。 申請用紙には「□フィルム □CD-R」という選択チェックボックスがあるのに・・・どうなってるんだ・・・。 まぁやってないと言うものは仕方がない。 そのうち対応すると願っておく。 今日の結果は8/24。
【XP画像】
肺、特に変化はなし。 【腫瘍マーカー】 HCGβ:<0.1 何事もなく無事に今日が過ぎました。 よかったです。 次回は5月に単純CTとマーカーです。
今回から胸部レントゲン&採血。
10時55分にに病院について、20分ほどで両方ともあっという間に終了。 レントゲンなんか受付して座った途端に名前呼ばれて・・・ 採血も受付してそのまま名前呼ばれて・・・ 今日は待ち時間ゼロでした。 結果は3/2。
無事に新しい年を迎えられたことをうれしく思います。
2008年は6月まではがんばって仕事をしましたが、とうとう体がギブアップして退社、そして11月から仕事を復活、転機といってよい年でした。 mixiなどを見ていても、12月には精巣腫瘍で亡くなっている方もいます。 今こうして生きている自分はつくづくラッキーだと実感します。 今年は「マイペース」をがんばります。
今回からCTの造影剤はありませんでした。
勘違いしてた・・・ なので単純CT。 横になって撮るだけなので非常に楽ですね。その分撮影される画像も解像度が低くなりますが・・・ しかし、思えば2005年末頃の単純CTからリンパ転移が疑われ始め、その次からはずっと造影剤を使用したCTだったわけだ。 2008年末の今、やっとそこへ戻ってきたという感じがした。 検査後の帰り、病院の最寄り駅のパン屋で朝食。 改札横に店があるのでガラス越しに行き交う多くの人を眺めながら思う。 2006年の入院中、ヨメも色々思いながらここを通ったんだろう、と。 何ヶ月も。 暑い日も雨の日も。 ただただ「感謝」あるのみです。 本日の検査結果は12/8。
BEP治療をして退院後2年が経ちました。
やっと2年かぁ。 次の1年はどうかな? 2009年の11月が楽しみだ。
3ヶ月に一回の検査です。
朝早くから空腹なのを我慢して移動です。 CTのときの造影剤の点滴も、採血も今日針を刺してくれたお二人は完璧でした。 今までの誰よりもうまかったと思う。 翌日の今日には0.5mmくらいの小さいかさぶたしか残ってないです。 すばらしい。 CTと採血の結果は来週外来で確認です。 何も出ませんように(祈) まったく関係ありませんが、副都心線が開通したおかげでものすごく病院に行きやすくなった。 もう埼京線に乗らなくてよいのはうれしいね。
2年前のこの日、いよいよBEPを開始した。朝から夕方まで点滴をし続ける。
いやー振り返るとえらいたくさん打ってたもんだ。 終戦記念日でもあり、当時の小泉首相が靖国に参拝していた頃である。 この最初の抗癌剤点滴を打った場所である左腕には、今でも色素沈着が残っている。 副作用との戦いの始まった日でもであーる。
2006/8/10、BEPのために入院した。
自分で荷物を持ち、ヨメに付き添われて病院に行きました。 普通に元気な人だったw。 退院後に復帰した仕事も今は辞め、2年後の今はのんびりしている。 ゆっくり考える期間だ。 もちろん普通に元気な人です! |
|
|