
|
カレンダー
最新記事
プロフィール
HN:ごう 年齢:47 性別:男性 誕生年:1973年 自己紹介: 2001年10月 精巣腫瘍で右睾丸摘出 2006年8月 後腹膜リンパ節に転移でBEPを3クール実施 2006年11月 退院 メールはこちらまで(@は変換してくださいね)
ブログ内検索
アーカイブ
カウンター
アクセス解析
最新コメント
たかたか (07/09)
SHOKO (01/21)
ごう (01/16)
SHOKO (01/06)
ごう (06/13)
shii (06/08)
ごう (06/20)
おしん (06/08)
|
× [PR]上記の広告は3ヶ月以上新規記事投稿のないブログに表示されています。新しい記事を書く事で広告が消えます。 CT、マーカーとも問題なし。
先生からの「来年はどうしようか?もう良い気もするけど」というようなお言葉。
2年前にも同じことを言われていて、もう少し続けたい旨を伝えていた。
さらに数年前、一時的にマーカー陽性化、肺に気になる影、結果PETまでやったことがあったからだが、結果は何もなかった。
50歳も超え、最近は別の年齢なりの不具合も感じ始めていることもあり、「あ、もういいかもな」と思えたのだった。
先生には大変感謝している旨を伝えたうえで、経過観察終了としていただいた。
先生は10歳くらい先輩だろうか。
抗がん剤入院時、俺が33歳で、なんとなく40代くらいと感じていた。
同じように先生も年を取っていくわけで、ふと尋ねてみた。
「先生はあとどれくらい現役続けるですか?」
「あと数年かなぁ」とのこと。
このブログもここで一旦終了とします。
PR
CT、マーカーとも、問題なし!
CTとマーカーは問題なし。 先生は「もう検査しなくても~」と言い始めたので、「昨年のマーカー上昇が気になるのですが、年一でマーカーは意味ないですか?」と伝えたら、「じゃあCTも撮ろうよ」ということで、結局次回は1年後となった。 結果はマーカー:陰性、CTも問題なし!
落ち着いたということで、次回は半年後の12月。
マーカーは超久しぶりの陰性(0.1未満)だった。
2020年8月に陽性になったので、実に1年7ヵ月ぶりの陰性。 次は6月にCTとマーカー。 腫瘍マーカーの結果は安定の0.1(笑)。
まぁ予想通りHCGβは0.1というギリ陽性をキープ(笑)。
ある意味安定感が出てきた(笑)。 CT画像も問題なし。 次回は12月にマーカー検査のみ。
先週の採血したので結果を聞いてきた。
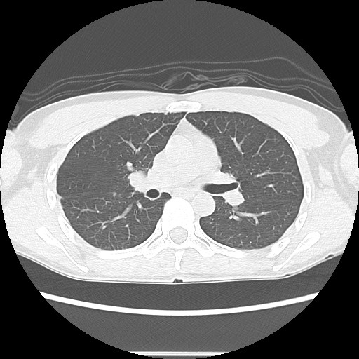
相変わらず0.1でギリ陽性を維持。 まあ上がらず横ばいなのでOKだな。 先生も全く気にしていない様子。 とはいえ「次回は9月にCTと採血ね」と抜かりなし(笑)。 2/16に採血とCT撮影をしてきた。 【4月】 時間厳守で8:15頃に核医学科を受付。 更衣室に案内されて着替え。 ロッカー開けてスリッパを見て一人爆笑(笑)。 誰もいないのでスリッパの写真を撮る。 続いて検査手順の説明を受ける。 ・投薬 ・1時間休憩 ・水分はたくさん摂ってください ・20分撮影 ・30分休憩 ・誰にも何も言わずそのまま帰ってよし とのこと。 そして静注用のライン取り。 血管が細く看護婦も悩み、少々時間を使う。 でも慎重に血管を選び抜き一発でライン確保。 さすがである。 血管にラインが入っている感覚、一瞬で抗がん剤治療時の腕の感覚が蘇るから不思議だ。 そしていきなり1時間休憩。 何も持ち込みできないので、ただただボ~ッとする。 これにも理由があって、筋肉を使うとそこに薬剤が集まってしまうらしい。 だから「何もしない」でなければならない。(と帰宅後にヨメから教わる) 体内というか細胞に薬剤が行き渡ったら20分ほどかけて撮影。 CTの機械を少々長くした程度のものだった。 気分的にもCTと同じ。 体勢は腕を横にしてきをつけの姿勢。 いつもは万歳の姿勢なので少し画像が変わりそうだ。 撮影後は30分休憩。 こちらは半減期との兼ね合いのようだ。 俺自身が放射線を出しながら街中を歩いて電車に乗るわけにはいかないということかな。 γ線エリアモニタなるものも所々に設置されている。 空間線量を計測している模様。 俺が近づいただけで0.1から12.0までどんどん上昇した。 俺自身が放射線を出しているということで、ちょっとおもしろい(笑)。 というわけで、本来であれば悪性腫瘍を疑われての検査なのだけど、あまりにも経験したことのないことばかりで、逆に楽しんでしまった(笑)。 結果は12/16。 これまたどんな画像が出てくるのかが楽しみ。
とうとうやってきた、この日が。
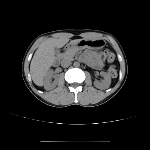
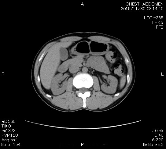
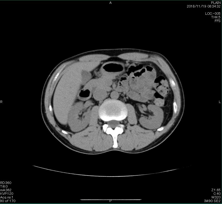
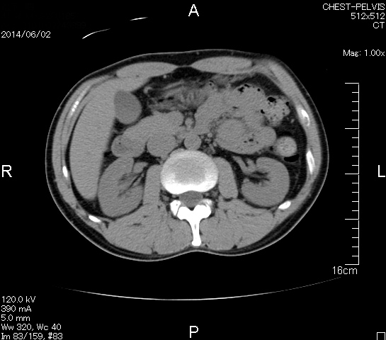
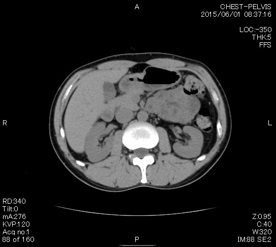
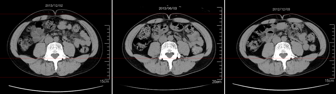
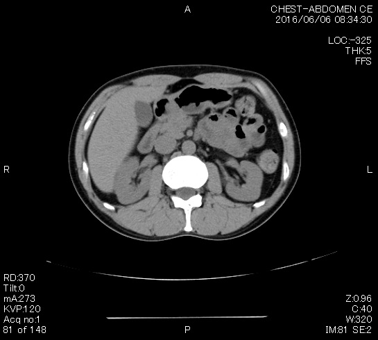
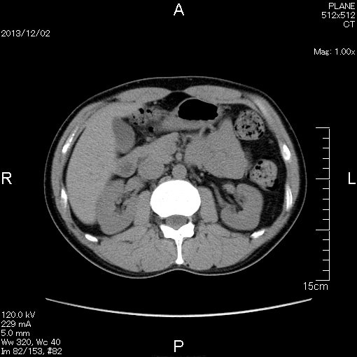
2006年入院治療の退院日から10年。 かなり大きな節目なんだが、なんだろうこの軽い感じは(笑)。 「10年生きたんだぁ」くらい。 変わったような変わっていないような。 当時は10年後なんて全く考えていなかった。 今も10年後は考えていないが・・・。 退院前日の2006/10/31は46.6kgだった。 今日計ったら54.8kg。体脂肪は16.6%。 とても健康にストレスなく生活できていることに、治療当時から現在に至るまで、関わった人全員に感謝の気持ちです。 マーカー、CT画像、問題なし!! 血液検査結果もほとんど文句なしの正常値。 そうだなぁ、数値に出ない異変としては、肩凝りかなぁ。 一旦夏になくなったと思ったが、初秋から再発。 マウスを左手にしたり、シップ貼ったり、最近はホッカイロ貼ったり。 で、一向に良くなる気配がない。 やはり四十肩なのか。 でも肩の可動域は問題ない。動かせないような痛みも無い。 結局色々考えてたどり着いたのは「変形性頚椎症」ではないかと。 肩凝りや頭痛がダラダラと続くようになるという症状がピッタリ当てはまる。 さて、改善策がなかなか難しい。 整形外科行ってもレントゲン撮って湿布をくれるだけだろう。 そんなことに大金を出すならまずは300円/回のプールで泳ごうと思う。 重力から開放して全身運動をするのが一番良いらしい。 2015年の目標は少しでも良いから水泳を再開する、だな。 マーカー、CT画像、問題なし!! 通常の血液検査結果も文句なしの正常値がズラ~っと並んだ!! 間違いなくヨメの食事のおかげである。ほんとうに感謝である!! ちなみに最近少々腰周りの肉付きが気になっていたのだが・・・。 左から2013年12月、2013年06月、2012年12月と背骨の位置は合わせて並べてみた。 6月まではあまり変化がなかったが、この半年で明らかに違う。 背中側の脂肪がやや増えてはいる。 でも最も大きな違いは、腸なのか、やたらと内臓が膨れている・・・。 一言で言うと食べすぎ?!?! 食事は野菜中心ではあるが、確かによく食べているw。 せっかくスーツのウエストを詰めたんだからこれ以上にならないようにしたい。 「腹八分目を心がける」かな。
先週は半年に1回のCTと血液検査でした。
結果はCT、腫瘍マーカー共に問題なしでした。 血液検査はほぼ正常値なのだが、LAPとBUNが高値だった。 いずれも基準値をほんのちょっと飛び出ただけだが。 LAPは2011年12月から横ばいだがやや高値なのでちょっと気にしておこうと思う。 BUNは上がったり下がったりで、一過性のものと思われるのであまり気にしないことにする。 次は12月~。
CT、腫瘍マーカー共に問題なし。
6月に基準値越えだった中性脂肪と尿素窒素は正常値に戻った。 ヨメの食事管理のおかげです。 次回は6月!
次のページ
>>
|
|
|